Dental referral

As part of our referral service, we ensure patients are directed to the most appropriate setting for the care they need. Each referral is reviewed by a clinician who carefully considers the information provided by the referring dentist to assess the condition and determine the most suitable course of treatment.

Get our referral form by downloading it here and easily submit referrals to help your patients receive the best care.

DOWNLOAD REFERRAL FORM

Complete our online referral form to refer patients easily and securely, ensuring they receive timely and efficient care.

ONLINE REFERRAL FORM

Why refer your patients to Gibside Dental

Referring your patients allows them to receive appropriate specialist care tailored to their clinical needs. Each referral is carefully reviewed to ensure accurate assessment, efficient management, and clear communication, supporting the best possible outcomes for both you and your patients.

We accept referrals for

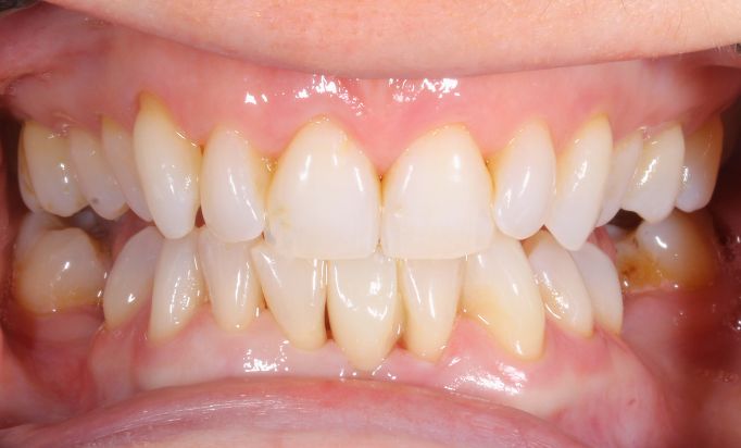
Advanced periodontal treatment

We accept referrals for all advanced periodontal procedures, including aesthetic and functional crown lengthening, surgical management of periodontal disease, and treatment of gum recession. Dr Harriet Beaty provides soft-tissue grafting around teeth and implants, regenerative management of infrabony defects, and treatment of peri-implantitis and peri-mucositis. We also manage perio-endo lesions and offer bespoke gingival veneers for aesthetic restoration. Our periodontal service focuses on stabilising disease, rebuilding lost support, and achieving long-term functional and cosmetic outcomes. Referring dentists can trust us with complex cases requiring specialist-level periodontal care and predictable regenerative techniques.

All on 4/6

Our All-on-4 and All-on-6 full-arch implant solutions are ideal for patients with failing dentitions or complete tooth loss. We provide fixed, same-day and delayed-loading options depending on bone volume and clinical suitability. Treatment includes comprehensive assessment, digital planning, bone grafting if required, and collaboration with referring dentists for long-term maintenance. Patients benefit from improved function, facial support, and natural-looking aesthetics. We welcome referrals for complex full-arch rehabilitation, and those seeking fixed alternatives to dentures.

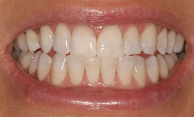
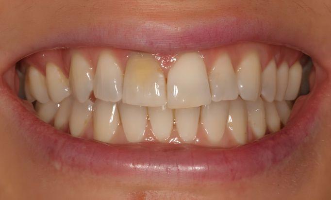
Cosmetic dentistry

Our cosmetic dentistry referral service includes veneers, composite bonding, smile makeovers, Invisalign and complete aesthetic transformations. We use digital photography, smile simulations and minimally invasive techniques to achieve natural, long-lasting results. Referrals are suitable for patients seeking improvements in tooth shape, alignment, colour and symmetry. Whether restoring a single tooth or redesigning a full smile, we prioritise minimally invasive and bespoke treatment options. Our team welcomes collaborative planning with referring dentists to ensure each patient receives a bespoke, high-quality cosmetic result.

Conscious sedation

We offer IV conscious sedation with midazolam for anxious or phobic patients, including some ASA III cases and children aged 12+. Sedation is delivered by trained clinicians in a controlled environment, ensuring comfort and safety throughout treatment. This service is ideal for patients requiring longer procedures, oral surgery, implants, and complex restorative dentistry, as well as those who would struggle to tolerate routine dentistry. Referring dentists can expect clear communication, comprehensive pre-assessment and safe handover back to their care. Sedation helps improve patient acceptance, reduces anxiety and ensures a calmer clinical experience.

Complex case management

We welcome referrals for complex multidisciplinary cases requiring advanced planning, second opinions or comprehensive treatment coordination. This includes patients with severe wear, failing restorations, periodontal disease, missing teeth, occlusal problems, implant complications and aesthetic concerns. Our team takes a full-mouth, risk-assessed approach using digital diagnostics, CBCT imaging and joint clinician planning. We provide clear reports, proposed sequencing and transparent communication with referring dentists throughout. This service is ideal for challenging cases where patients require stabilisation, predictable restorative planning and long-term functional outcomes.

Dental sleep medicine

We welcome referrals for the assessment and management of snoring and sleep-related breathing disorders, including mild to moderate Obstructive Sleep Apnoea. Our clinicians provide custom-made mandibular advancement devices (MADs) designed to improve airway patency, reduce snoring and enhance sleep quality. Using advanced digital scanning and careful bite registration, we ensure comfortable, accurate appliance fit. We also coordinate closely with medical teams where further investigation is required. This service is ideal for patients seeking a non-invasive treatment option or those intolerant of CPAP therapy. Referring dentists should expect patients to have been diagnosed with OSA after receiving a sleep study, or this can be arranged by Gibside Dental

Load More

Advanced periodontal treatment

We accept referrals for all advanced periodontal procedures, including aesthetic and functional crown lengthening, surgical management of periodontal disease, and treatment of gum recession. Dr Harriet Beaty provides soft-tissue grafting around teeth and implants, regenerative management of infrabony defects, and treatment of peri-implantitis and peri-mucositis. We also manage perio-endo lesions and offer bespoke gingival veneers for aesthetic restoration. Our periodontal service focuses on stabilising disease, rebuilding lost support, and achieving long-term functional and cosmetic outcomes. Referring dentists can trust us with complex cases requiring specialist-level periodontal care and predictable regenerative techniques.

All on 4/6

Our All-on-4 and All-on-6 full-arch implant solutions are ideal for patients with failing dentitions or complete tooth loss. We provide fixed, same-day and delayed-loading options depending on bone volume and clinical suitability. Treatment includes comprehensive assessment, digital planning, bone grafting if required, and collaboration with referring dentists for long-term maintenance. Patients benefit from improved function, facial support, and natural-looking aesthetics. We welcome referrals for complex full-arch rehabilitation, and those seeking fixed alternatives to dentures.

Cosmetic dentistry

Our cosmetic dentistry referral service includes veneers, composite bonding, smile makeovers, Invisalign and complete aesthetic transformations. We use digital photography, smile simulations and minimally invasive techniques to achieve natural, long-lasting results. Referrals are suitable for patients seeking improvements in tooth shape, alignment, colour and symmetry. Whether restoring a single tooth or redesigning a full smile, we prioritise minimally invasive and bespoke treatment options. Our team welcomes collaborative planning with referring dentists to ensure each patient receives a bespoke, high-quality cosmetic result.

Conscious sedation

We offer IV conscious sedation with midazolam for anxious or phobic patients, including some ASA III cases and children aged 12+. Sedation is delivered by trained clinicians in a controlled environment, ensuring comfort and safety throughout treatment. This service is ideal for patients requiring longer procedures, oral surgery, implants, and complex restorative dentistry, as well as those who would struggle to tolerate routine dentistry. Referring dentists can expect clear communication, comprehensive pre-assessment and safe handover back to their care. Sedation helps improve patient acceptance, reduces anxiety and ensures a calmer clinical experience.

Complex case management

We welcome referrals for complex multidisciplinary cases requiring advanced planning, second opinions or comprehensive treatment coordination. This includes patients with severe wear, failing restorations, periodontal disease, missing teeth, occlusal problems, implant complications and aesthetic concerns. Our team takes a full-mouth, risk-assessed approach using digital diagnostics, CBCT imaging and joint clinician planning. We provide clear reports, proposed sequencing and transparent communication with referring dentists throughout. This service is ideal for challenging cases where patients require stabilisation, predictable restorative planning and long-term functional outcomes.

Dental sleep medicine

We welcome referrals for the assessment and management of snoring and sleep-related breathing disorders, including mild to moderate Obstructive Sleep Apnoea. Our clinicians provide custom-made mandibular advancement devices (MADs) designed to improve airway patency, reduce snoring and enhance sleep quality. Using advanced digital scanning and careful bite registration, we ensure comfortable, accurate appliance fit. We also coordinate closely with medical teams where further investigation is required. This service is ideal for patients seeking a non-invasive treatment option or those intolerant of CPAP therapy. Referring dentists should expect patients to have been diagnosed with OSA after receiving a sleep study, or this can be arranged by Gibside Dental

Load More

Patient journey

1.  Book & Consultation

Patients schedule an appointment and receive an initial assessment tailored to their needs.

2.  Treatment

They undergo the recommended treatment with clear guidance, comfort-focused care, and professional support.

3.  Ongoing support

After treatment, patients receive follow-up checks and continued support to ensure long-term oral health.

REFER NOW

Testimonials

Google Review
S
star

Steven M verified

I’ve been going to Gibside Dental for just over a year now and can honestly say it’s the best dental experience I’ve had. I’ve been going to Gibside Dental for just over a year now...

Read more

K
star

Kirsty B verified

The team are so welcoming and friendly. I was a little worried about dentist visits due to past experiences. However, Sam and Harriet are just fantastic! They put you at ease and chat to you...

Read more

M
star

Marylii verified

Needed an emergency appointment for braces, and this was the only place nearest Durham that took me in. Had to wait until Monday for an appointment, but they were so accommodating and got a hygienist...

Read more

D
star

Dien E verified

Couldn’t be happier. Extremely professional, while still warm and caring at the same time. They actually listen, take the time to explain things and go through everything thoroughly, not try to get your money and...

Read more

L
star

Louise C verified

Had my first visit today for a full MOT (with a follow-up hygiene appointment in a few days), it was wonderful to be greeted by Sally it was so welcoming, I was quickly seen by...

Read more

A
star

Anne W verified

I hadn’t been to a dentist for 7 years due to fear. Gibside Dental go above and beyond to put me at ease.

Read more

K
star

Kathleen D verified

Very friendly and professional, put me at my ease as I am very nervous of dentists. Couldn’t recommend them enough and thank them enough, highly recommended

Read more

S
star

Sarah B verified

5 Stars – Excellent Invisalign Experience with Sam I had Invisalign treatment with Sam at his previous practice, and I couldn’t be happier with the results. From start to finish, Sam was professional, kind, and...

Read more

L
star

Loki verified

Absolutely great team, especially Harriet and Sam, surgery is immaculate, and they make you feel relaxed and comfortable. Keep up the good work.

Read more

W
star

Wole B verified

Not bad actually, the process was fast and painless, done by Dr Karrar. The aftercare plan is also good. My overall view of the clinic is superb.

Read more

S
star

Stephen G verified

I first visited Gibside Dental for emergency dental care due to severe pain from an infection in a broken tooth. The tooth was extracted, and I arranged a further visit for an MOT dental examination...

Read more

S
star

Sarah F verified

Fantastic dental care! Sam is so skilled, high-technology dentist who is informative and caring. I have no fears or anxiety with Gibside Dental. If you care for your teeth – sign up with Gibside!

Read more

star

Carly R verified

Haven’t been to the dentist in a while, and everyone (Sally, Britanie, and Samuel) made me feel at ease, and the whole experience felt a lot less scary than expected. Will definitely be going back...

Read more

D
star

Dyllan C verified

I had an excellent experience at this dental clinic! They have created such a calm and welcoming atmosphere. Harriet, my dentist, was amazing — so friendly, professional, and made the whole appointment feel easy and...

Read more

G
star

Grace C verified

I had a dental emergency, and the team at Gibside Dental were empathetic and booked me in the very same day. On arrival, I was made to feel at ease instantly and was given a...

Read more

D
star

Dani B verified

Definitely the best dentist I have been to. I have a fear of dentists due to previous experiences, but I have attended Gibside, and the staff are incredible. The dentist building itself is stunning and...

Read more

M
star

MR E verified

I had a fantastic experience at this dental clinic! The inside is beautifully clean and immaculate, creating a welcoming and calming atmosphere. Harriet, my dentist, was amazing — so friendly, professional, and really made the...

Read more

S
star

Sarah J verified

I was seen very quickly today by Harriet and Sophie. They made me feel so at ease. Sally at reception is really lovely, I felt welcome as soon as I spoke to her on the...

Read more

J
star

Janice L verified

It’s been a very long time since I needed any dental work, so that in itself was nerve-racking; however, the customer service from the outset from Emma and Sally was wonderful – very friendly and...

Read more

Google Review
S
star

Steven M verified

I’ve been going to Gibside Dental for just over a year now and can honestly say it’s the best...

Read more

K
star

Kirsty B verified

The team are so welcoming and friendly. I was a little worried about dentist visits due to past experiences....

Read more

M
star

Marylii verified

Needed an emergency appointment for braces, and this was the only place nearest Durham that took me in. Had...

Read more

D
star

Dien E verified

Couldn’t be happier. Extremely professional, while still warm and caring at the same time. They...

Read more

L
star

Louise C verified

Had my first visit today for a full MOT (with a follow-up hygiene appointment in a few days), it...

Read more

A
star

Anne W verified

I hadn’t been to a dentist for 7 years due to fear. Gibside Dental go above and beyond to put me at...

Read more

K
star

Kathleen D verified

Very friendly and professional, put me at my ease as I am very nervous of dentists. Couldn’t recommend them...

Read more

S
star

Sarah B verified

5 Stars – Excellent Invisalign Experience with Sam I had Invisalign treatment with Sam at...

Read more

L
star

Loki verified

Absolutely great team, especially Harriet and Sam, surgery is immaculate, and they make you feel...

Read more

W
star

Wole B verified

Not bad actually, the process was fast and painless, done by Dr Karrar. The aftercare plan is also good....

Read more

S
star

Stephen G verified

I first visited Gibside Dental for emergency dental care due to severe pain from an infection in a broken...

Read more

S
star

Sarah F verified

Fantastic dental care! Sam is so skilled, high-technology dentist who is informative and caring. I...

Read more

star

Carly R verified

Haven’t been to the dentist in a while, and everyone (Sally, Britanie, and Samuel) made me feel at ease,...

Read more

D
star

Dyllan C verified

I had an excellent experience at this dental clinic! They have created such a calm...

Read more

G
star

Grace C verified

I had a dental emergency, and the team at Gibside Dental were empathetic and booked me in the very...

Read more

D
star

Dani B verified

Definitely the best dentist I have been to. I have a fear of dentists due to previous experiences, but...

Read more

M
star

MR E verified

I had a fantastic experience at this dental clinic! The inside is beautifully clean and...

Read more

S
star

Sarah J verified

I was seen very quickly today by Harriet and Sophie. They made me feel so at ease. Sally at reception is really...

Read more

J
star

Janice L verified

It’s been a very long time since I needed any dental work, so that in itself was nerve-racking; however,...

Read more

Google Review
S
star

Steven M verified

I’ve been going to Gibside Dental for just over a year now and can honestly say it’s the best dental experience I’ve had. I’ve...

Read more

K
star

Kirsty B verified

The team are so welcoming and friendly. I was a little worried about dentist visits due to past experiences. However, Sam and Harriet are...

Read more

M
star

Marylii verified

Needed an emergency appointment for braces, and this was the only place nearest Durham that took me in. Had to wait until Monday for...

Read more

D
star

Dien E verified

Couldn’t be happier. Extremely professional, while still warm and caring at the same time. They actually listen, take the time to explain things and...

Read more

L
star

Louise C verified

Had my first visit today for a full MOT (with a follow-up hygiene appointment in a few days), it was wonderful to be greeted...

Read more

A
star

Anne W verified

I hadn’t been to a dentist for 7 years due to fear. Gibside Dental go above and beyond to put me at ease.

Read more

K
star

Kathleen D verified

Very friendly and professional, put me at my ease as I am very nervous of dentists. Couldn’t recommend them enough and thank them enough,...

Read more

S
star

Sarah B verified

5 Stars – Excellent Invisalign Experience with Sam I had Invisalign treatment with Sam at his previous practice, and I couldn’t be happier with...

Read more

L
star

Loki verified

Absolutely great team, especially Harriet and Sam, surgery is immaculate, and they make you feel relaxed and comfortable. Keep up the good work.

Read more

W
star

Wole B verified

Not bad actually, the process was fast and painless, done by Dr Karrar. The aftercare plan is also good. My overall view of the...

Read more

S
star

Stephen G verified

I first visited Gibside Dental for emergency dental care due to severe pain from an infection in a broken tooth. The tooth was extracted,...

Read more

S
star

Sarah F verified

Fantastic dental care! Sam is so skilled, high-technology dentist who is informative and caring. I have no fears or anxiety with Gibside Dental. If...

Read more

star

Carly R verified

Haven’t been to the dentist in a while, and everyone (Sally, Britanie, and Samuel) made me feel at ease, and the whole experience felt...

Read more

D
star

Dyllan C verified

I had an excellent experience at this dental clinic! They have created such a calm and welcoming atmosphere. Harriet, my dentist, was amazing —...

Read more

G
star

Grace C verified

I had a dental emergency, and the team at Gibside Dental were empathetic and booked me in the very same day. On arrival, I...

Read more

D
star

Dani B verified

Definitely the best dentist I have been to. I have a fear of dentists due to previous experiences, but I have attended Gibside, and...

Read more

M
star

MR E verified

I had a fantastic experience at this dental clinic! The inside is beautifully clean and immaculate, creating a welcoming and calming atmosphere. Harriet, my...

Read more

S
star

Sarah J verified

I was seen very quickly today by Harriet and Sophie. They made me feel so at ease. Sally at reception is really lovely, I...

Read more

J
star

Janice L verified

It’s been a very long time since I needed any dental work, so that in itself was nerve-racking; however, the customer service from the...

Read more

View All Testimonials

Get in touch

Contact us

Opening Hours

Monday
8:00 - 20:00
Tuesday
8:00 - 20:00
Wednesday
8:00 - 20:00
Thursday
8:00 - 20:00
Friday
8:00 - 17:00
Saturday
8:00 - 13:00
Sunday
By appointment only
logo left bottom calc sinter plain shape

Follow us!

Stay connected with us for the latest updates and smiles - follow Gibside Dental on our social media platforms!

Instagram top right white salt scrub plain arrow top right white dark green plain arrow

Our partners

Google Rating
5.0
Google Rating
Google-review