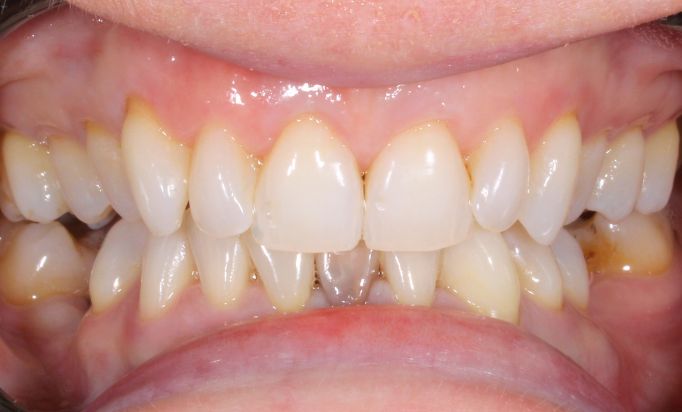
“I’d had a root canal on my front tooth years ago, and over time it became darker and darker. I felt like it stood out in every photo. Then my dentist told me the root canal was starting to fail, and that’s when I knew I needed to get it properly fixed.”- Julie
Julie came to Gibside Dental hoping for a brighter, more even smile and a long-term solution for her failing tooth.
Treatment sequence:
Because the root canal was no longer healthy and the discolouration was significant, we decided the best option was to extract the tooth and replace it with a beautifully natural all-ceramic bonded bridge. While the gum healed, we provided a high-quality provisional to support the soft tissues and ensure the final result looked seamless.
We also carried out professional whitening to brighten the overall smile before fitting the definitive bridge, helping everything blend perfectly.
Outcome:
Julie’s treatment took 3 months, with a total investment of £1,050.
She now has a healthy, bright front tooth replacement that looks completely natural — and no one would ever know she’d lost a tooth at all.
I’ve been going to Gibside Dental for just over a year now and can honestly say it’s the best dental experience I’ve had. I’ve been going to Gibside Dental for just over a year now...
The team are so welcoming and friendly. I was a little worried about dentist visits due to past experiences. However, Sam and Harriet are just fantastic! They put you at ease and chat to you...
Needed an emergency appointment for braces, and this was the only place nearest Durham that took me in. Had to wait until Monday for an appointment, but they were so accommodating and got a hygienist...
Couldn’t be happier. Extremely professional, while still warm and caring at the same time. They actually listen, take the time to explain things and go through everything thoroughly, not try to get your money and...
Had my first visit today for a full MOT (with a follow-up hygiene appointment in a few days), it was wonderful to be greeted by Sally it was so welcoming, I was quickly seen by...
I hadn’t been to a dentist for 7 years due to fear. Gibside Dental go above and beyond to put me at ease.
I’ve been going to Gibside Dental for just over a year now and can honestly say it’s the best...
The team are so welcoming and friendly. I was a little worried about dentist visits due to past experiences....
Needed an emergency appointment for braces, and this was the only place nearest Durham that took me in. Had...
Couldn’t be happier. Extremely professional, while still warm and caring at the same time. They...
Had my first visit today for a full MOT (with a follow-up hygiene appointment in a few days), it...
I’ve been going to Gibside Dental for just over a year now and can honestly say it’s the best dental experience I’ve had. I’ve...
The team are so welcoming and friendly. I was a little worried about dentist visits due to past experiences. However, Sam and Harriet are...
Needed an emergency appointment for braces, and this was the only place nearest Durham that took me in. Had to wait until Monday for...
Couldn’t be happier. Extremely professional, while still warm and caring at the same time. They actually listen, take the time to explain things and...
Had my first visit today for a full MOT (with a follow-up hygiene appointment in a few days), it was wonderful to be greeted...
"“I’d had an accident years ago that damaged my front tooth. The nerve died, and even after root canal treatment,…"
"“I’d lived with worn, chipped and crooked teeth for years, but it was planning the wedding that really pushed me…"
"“I had braces when I was younger, but I stopped wearing my retainers… and over the years, my teeth slowly…"
"“I had braces when I was younger, but didn’t wear my retainers, and over time, my teeth shifted again. I…"
"“I’d always been self-conscious of one of my front teeth — it was much smaller than the others, so I’d…"
"“I’d lost most of my teeth over the years, and the old dentures I had were so loose I could…"
"“I’d ignored my teeth for years. They were chipped, worn down, some were missing, and a few had abscesses from…"
"“I’d had a root canal on my front tooth years ago, and over time it became darker and darker. I…"
"“I’d always disliked my twisted front tooth — especially from the side. It made me really self-conscious, and I found…"
"“My upper right lateral incisor sat in a crossbite, and it always bothered me. It caught every time I bit…"
"Over the last few years, a gap started to develop between my front teeth, and it really began to bother…"
"“My teeth had been breaking and chipping for years, and things eventually got so bad that I couldn’t chew properly.…"
"“I’d started to notice little chips appearing on my teeth, and over time, it really worried me. I was scared…"
"“I had fixed braces during the COVID period, but afterwards, I didn’t keep up with wearing my retainers. Slowly, my…"
"“I was born with amelogenesis imperfecta — a condition where the enamel doesn’t form properly. When I was younger, I…"
"“I’d only been to the dentist once in my life — 50 years ago — when I had all my…"
"“I’d had an accident years ago that damaged my front tooth. The nerve died, and even after root canal treatment,…"
"“I’d lived with worn, chipped and crooked teeth for years, but it was planning the wedding that really pushed me…"
"“I had braces when I was younger, but I stopped wearing my retainers… and over the years, my teeth slowly…"
"“I had braces when I was younger, but didn’t wear my retainers, and over time, my teeth shifted again. I…"
"“I’d always been self-conscious of one of my front teeth — it was much smaller than the others, so I’d…"
"“I’d lost most of my teeth over the years, and the old dentures I had were so loose I could…"
"“I’d ignored my teeth for years. They were chipped, worn down, some were missing, and a few had abscesses from…"
"“I’d had a root canal on my front tooth years ago, and over time it became darker and darker. I…"
"“I’d always disliked my twisted front tooth — especially from the side. It made me really self-conscious, and I found…"
"“My upper right lateral incisor sat in a crossbite, and it always bothered me. It caught every time I bit…"
"Over the last few years, a gap started to develop between my front teeth, and it really began to bother…"
"“My teeth had been breaking and chipping for years, and things eventually got so bad that I couldn’t chew properly.…"
"“I’d started to notice little chips appearing on my teeth, and over time, it really worried me. I was scared…"
"“I had fixed braces during the COVID period, but afterwards, I didn’t keep up with wearing my retainers. Slowly, my…"
"“I was born with amelogenesis imperfecta — a condition where the enamel doesn’t form properly. When I was younger, I…"
"“I’d only been to the dentist once in my life — 50 years ago — when I had all my…"
Stay connected with us for the latest updates and smiles - follow Gibside Dental on our social media platforms!
Instagram